Ковельські лікарі успішно виконали операцію з видалення двох пухлин нирки
Операції з видалення пухлин (злоякісних чи доброякісних) перестають бути унікальними для фахівців Ковельського МТМО, проте вони залишаються на рівні досить складних втручань, які вимагають великої майстерності усієї команди. Про чергові успіхи ковельських лікарів розповідають на сторінці медичного об'єднання у фейсбук.

Фото ілюстративне
78-річна жінка звернулася до лікарні зі скаргами на підвищений артеріальний тиск (він сягав 210/105 мм рт ст), постійний ниючий біль в попереку, підвищену стомлюваність.
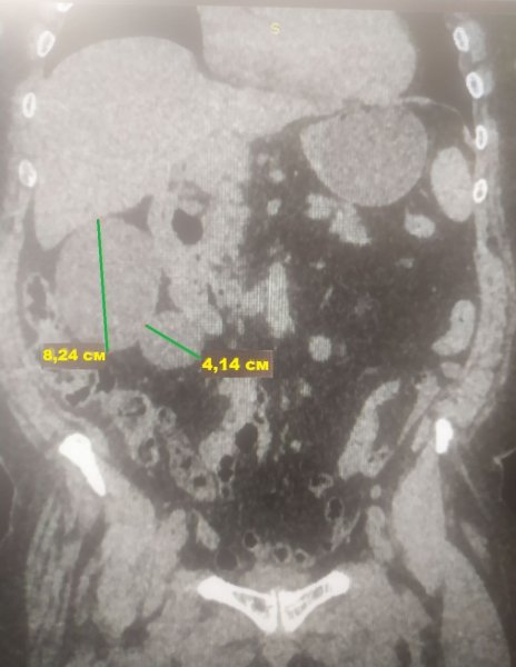
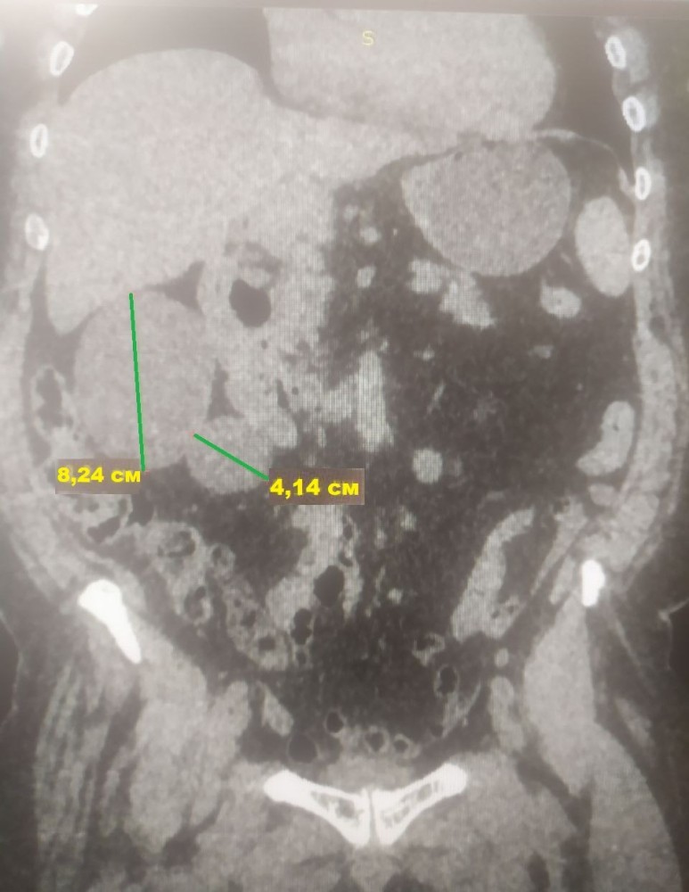
У результаті проведених обстежень лікарі діагностували солітарні кісти правої нирки 8,24 см та 4,14 см в діаметрі (новоутворення з тонкими стінками, заповнені рідиною).

Фото Ковельського МТМО
Колись такий діагноз означав би відкрите оперативне втручання. Та завдяки застосуванню високотехнологічного медичного обладнання, яке є у Ковельському МТМО, операція проводилася лапароскопічно. Вражену кістою тканину видалили через маленькі проколи.

Фото Ковельського МТМО
Зберегти функції життєво важливого органу вдалося завдяки майстерності та професіоналізму наших лікарів! Команда фахівців у складі Миколи Дем’янчука, Остапа Звоздяка та Олега Кубая успішно виконала резекцію обох кіст. Уже на четвертий день після оперативного втручання пацієнтку у доброму самопочутті виписали додому.
#КовельськеМТМО

78-річна жінка звернулася до лікарні зі скаргами на підвищений артеріальний тиск (він сягав 210/105 мм рт ст), постійний ниючий біль в попереку, підвищену стомлюваність.
У результаті проведених обстежень лікарі діагностували солітарні кісти правої нирки 8,24 см та 4,14 см в діаметрі (новоутворення з тонкими стінками, заповнені рідиною).

Колись такий діагноз означав би відкрите оперативне втручання. Та завдяки застосуванню високотехнологічного медичного обладнання, яке є у Ковельському МТМО, операція проводилася лапароскопічно. Вражену кістою тканину видалили через маленькі проколи.

Зберегти функції життєво важливого органу вдалося завдяки майстерності та професіоналізму наших лікарів! Команда фахівців у складі Миколи Дем’янчука, Остапа Звоздяка та Олега Кубая успішно виконала резекцію обох кіст. Уже на четвертий день після оперативного втручання пацієнтку у доброму самопочутті виписали додому.
#КовельськеМТМО
