У Ковелі лікарі провели унікальну урологічну операцію та врятували життя молодій дівчині
Уперше у Ковельському МТМО провели унікальну урологічну операцію. Завдяки оперативним професійним діям наших лікарів життю молодої дівчини уже нічого не загрожує. Інформує офіційний сайт Ковельської міської ради.
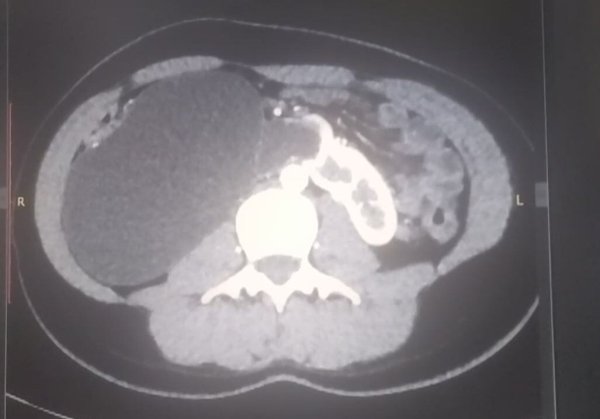
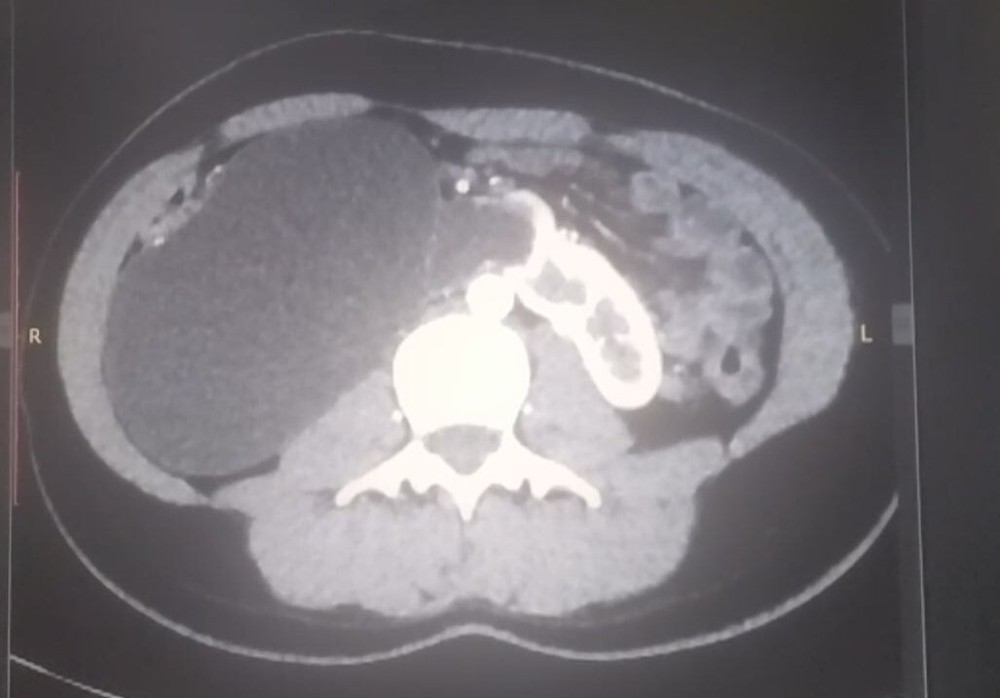
17-річна пацієнтка мала вроджену ваду сечовидільної системи – підковоподібну нирку (зрощення двох нирок). Стан її здоров’я погіршувався упродовж багатьох років, аж поки права половина підковоподібної нирки перестала функціонувати.

Хвору доставили в лікарню у важкому стані з вираженим больовим синдромом та наявністю гіпертонічного кризу. Через звуження у сечоводі та ускладнення відтоку сечі об’єм рідини в нирці сягнув критичного рівня. А збільшення її розмірів стало помітним навіть зовні.
Лікарі діагностували термінальний гідронефроз із наслідками, гідронефротичну трансформацію правої половини підковоподібної нирки, вторинну артеріальну гіпертензію.
Команда фахівців у складі: Остапа Звоздяка, Миколи Дем’янчука, Олега Кубая, успішно виконала лапароскопічну гемінефруретеректомію правої половини підковоподібної нирки (мінілапаротомія за Пфанненштилем з видаленням макропрепарата). Дренування черевної порожнини.

Ковельські лікарі дякують за співпрацю та обмін досвідом лікарю-урологу Володимиру Дмитріву (Перше територіальне медичне об’єднання Львова).
Нині пацієнтка почувається добре та уже виписана додому. Важливо, що після такої складної операції у молодої дівчини відсутні післяопераційні шрами і рубці. Бо втручання виконане через маленький розріз на шкірі внизу живота, тож має хороший косметичний ефект.
Медицина стрімко розвивається, і надважливо за нею встигати. Наближаємо медичну допомогу до рівня кращих світових стандартів заради здоров’я та життя людей.
Ковельське МТМО
17-річна пацієнтка мала вроджену ваду сечовидільної системи – підковоподібну нирку (зрощення двох нирок). Стан її здоров’я погіршувався упродовж багатьох років, аж поки права половина підковоподібної нирки перестала функціонувати.

Хвору доставили в лікарню у важкому стані з вираженим больовим синдромом та наявністю гіпертонічного кризу. Через звуження у сечоводі та ускладнення відтоку сечі об’єм рідини в нирці сягнув критичного рівня. А збільшення її розмірів стало помітним навіть зовні.
Лікарі діагностували термінальний гідронефроз із наслідками, гідронефротичну трансформацію правої половини підковоподібної нирки, вторинну артеріальну гіпертензію.
Команда фахівців у складі: Остапа Звоздяка, Миколи Дем’янчука, Олега Кубая, успішно виконала лапароскопічну гемінефруретеректомію правої половини підковоподібної нирки (мінілапаротомія за Пфанненштилем з видаленням макропрепарата). Дренування черевної порожнини.

Ковельські лікарі дякують за співпрацю та обмін досвідом лікарю-урологу Володимиру Дмитріву (Перше територіальне медичне об’єднання Львова).
Нині пацієнтка почувається добре та уже виписана додому. Важливо, що після такої складної операції у молодої дівчини відсутні післяопераційні шрами і рубці. Бо втручання виконане через маленький розріз на шкірі внизу живота, тож має хороший косметичний ефект.
Медицина стрімко розвивається, і надважливо за нею встигати. Наближаємо медичну допомогу до рівня кращих світових стандартів заради здоров’я та життя людей.
Ковельське МТМО
